你知道吗?最近在网上看到一个特别有趣的视频,讲的是成人双排牙恢复的过程。是不是听起来就有点意思?那就让我来给你详细介绍一下这个视频,保证让你大开眼界!

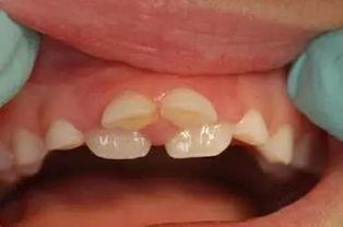
首先,得先弄清楚什么是成人双排牙。简单来说,就是成年人在牙齿排列上出现了问题,导致牙齿排列不整齐,甚至出现了重叠的情况。这种情况在成年人中并不少见,很多人都会遇到。

那么,为什么会出现成人双排牙呢?其实,原因有很多。有的是因为小时候牙齿发育不良,有的是因为换牙期没有及时矫正,还有的是因为长期不良的口腔习惯,比如咬笔、咬指甲等。

别小看了双排牙,它可是有很多危害的。首先,双排牙会影响口腔美观,让人看起来不自信。其次,牙齿排列不整齐还会影响咀嚼功能,导致消化不良。最严重的是,双排牙还可能引发口腔疾病,比如牙周病、龋齿等。
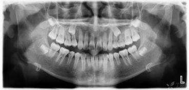
现在,让我们来看看这个视频吧!视频中,一位专业的口腔医生详细讲解了成人双排牙恢复的过程。首先,医生会通过X光片检查牙齿情况,确定治疗方案。根据具体情况,医生会采取不同的矫正方法。
1. 传统矫正器:这是最常见的矫正方法,通过佩戴矫正器来调整牙齿位置。医生会根据牙齿的具体情况,选择合适的矫正器。
2. 隐形矫正器:相比传统矫正器,隐形矫正器更加美观,几乎看不出来。它通过一系列透明的矫正器来逐步调整牙齿。
3. 牙齿贴面:如果牙齿排列问题不是很严重,医生可能会建议使用牙齿贴面。这种方法可以快速改善牙齿外观。
1. 定期复查:在矫正过程中,需要定期到医院复查,确保矫正效果。
2. 口腔卫生:保持良好的口腔卫生习惯,每天刷牙、使用牙线,预防口腔疾病。
3. 饮食习惯:避免过硬、过黏的食物,以免影响矫正效果。
通过这个视频,我们了解到成人双排牙恢复并不是一件遥不可及的事情。只要选择合适的矫正方法,并积极配合医生的治疗,相信每个人都能拥有一口整齐的牙齿。
提醒大家,保护牙齿要从现在开始,养成良好的口腔卫生习惯,预防口腔疾病。如果你也有双排牙的问题,不妨试试这个视频推荐的矫正方法,相信你会收获意想不到的效果!
本文由admin于2026-04-09发表在国产影视视频免费在线观看,如有疑问,请联系我们。
本文链接:https://omyijgaocp.com/post/1014.html